The Smile Gallery
Transformations Achieved with Dr. Foote
A picture is worth a thousand words, but a transformed smile tells a story of renewed confidence and improved health. In our Smile Gallery, you can see the tangible results of Dr. Foote’s meticulous craftsmanship and artistic eye.
These are real patients from the Columbia community who trusted us with their care. While every smile is unique, our commitment to achieving natural, beautiful, and long-lasting results remains the same.
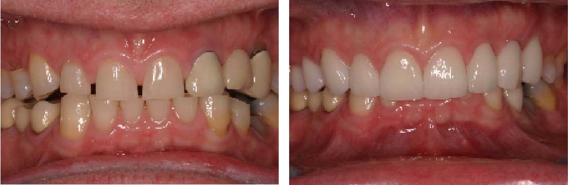
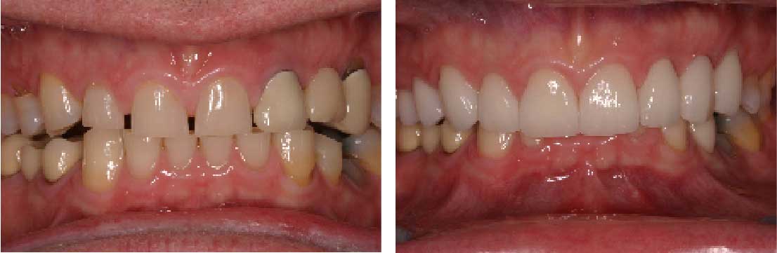
Porcelain Crowns
A damaged or deeply decayed tooth doesn’t have to be a lost cause. As you can see in our “Before and After: Porcelain Crowns” examples, a crown is designed to do more than restore function; it can completely rejuvenate a tooth’s appearance.
Porcelain Veneers
Porcelain veneers are often called “instant orthodontics” for a reason, as shown in our stunning veneer transformations. These thin, custom-crafted shells of medical-grade porcelain are permanently bonded to the front surface of teeth.
The process is a collaborative journey. Dr. Foote works with you and master dental technicians to design a smile that fits your facial structure and personal desires, ensuring you achieve a dramatically improved look yet still authentically you.
Your Transformation Awaits
These images represent just a few of the possibilities. Whether you need to restore the health of a single tooth with a crown or dream of a complete smile makeover with veneers, Dr. Foote has the skill and experience to help.
Ready to write your own smile story? We invite you to browse the gallery for inspiration, then schedule a confidential consultation with us.
During this visit, we’ll discuss your goals, answer all your questions, and outline a personalized treatment plan to help you achieve the healthy, confident smile you deserve. Contact our friendly team today at (573) 449-2311 to take the first step.




